فیلم تفاوت لمینت و کامپوزیت دندان؛ کدام بهتر است؟
دندان ها نقش مهمی در زیبایی صورت و اعتماد به نفس افراد دارند. با پیشرفت علم دندانپزشکی، روش های مختلفی برای بهبود ظاهر دندان ها روی کار آمده است که لمینت و کامپوزیت دندان دو روش رایج برای اصلاح طرح لبخند و زیبایی دندان ها هستند. اما بسیاری تفاوت لمینت و کامپوزیت را نمی دانند. به همین دلیل ما در این مقاله قصد داریم به فرق لمینت دندان و کامپوزیت، مزایا و معایب هر کدام و موارد استفاده آنها بپردازیم. اگر به دنبال پاسخ سوال “تفاوت لمینت و کامپوزیت در چیست؟” همراه ما باشید.
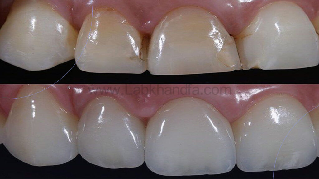
تفاوت لمینت و کامپوزیت ونیر دندان از زبان دکتر هادی درویش پور
فرق بین لمینت و کامپوزیت دندان چیست؟
برای همه متقاضیان نصب باندینگ های پرسلن و ونیر سوالی مبنی بر “کامپوزیت با لمینت چه فرقی دارد؟” پیش می آید. باید بدانید که هر 2 روکش ونیر کامپوزیتی و لمینت های سرامیکی پرسلن جزو مهم ترین ارکان صنعت دندانپزشکی زیبایی و ترمیم دندان های دچار صدمه دیدگی شناخته می شوند. هدف هر 2 باندینگ پوشاندن عیوب دندانی خفیف و افزایش زیبایی دندان های دچار تغییر رنگ است. در هر کدام از این درمان های زیبایی دندانپزشکی یک لایه محاظفتی و تقویت کننده بر روی سطوح بافت های متشکل مینای واحدهای دندانی نصب می شود تا فرم و شکل زیباتری را دندان به خود بگیرد. بهتر است قبل از آگاهی موضوع فرق بین لمینت و کامپوزیت دندان با هر کدام از باندینگ های مذکور آشنا شوید.

لمینت دندان چیست؟
لمینت های دندانی روکشی متشکل از مواد پرسلنی است که بر روی سطوح جلویی دندان نصب می شود تا ظاهری خیره کننده خلق شود. در ابتدا لازم است تا بدانید که لمینت های دندانی در 2 نوع برای متقاضیان مربوطه عرضه و ارائه می شود:
- لمینت سرامیکی پرسلن: تاریخچه باندینگ های لمینتی از روکش های لمینت سرامیکی متشکل از مواد پرسلن شروع شد. لمینت سرامیک پرسلن از ضخامت بیشتری (بسیار ناچیز) نسبت به باندینگ های چینی برخوردار می باشد.
- باندینگ های چینی: تاریخچه باندینگ های لمینتی با ارائه روکش بسیار پیشرفته تر به نام باندینگ های چینی در حال ادامه دادن است. باندینگ های چینی نیازمند تراشیدن کمتری از بافت های متشکل مینای دندان برای قرارگیری بر روی سطوح دندانی در مقایسه با لمینت سرامیکی پرسلن است.
به یاد داشته باشید که مزایای هر 2 نوع لمینت در بسیاری از موارد مشابه است. باید بدانید که همه افراد جزو کاندیدای مناسب برای لمینت دندان نیستند و تایید این موضوع بر عهده دندانپزشک متخصص ترمیم و زیبایی است. جامعه دندانپزشکی نصب لمینت بر روی واحدهای دندانی را به عنوان راهکاری برای دستیابی به زیباترین لبخندی معرفی می کنند که تمامی افراد عموم جامعه به دنبال دستیابی به آن هستند.
اگر به دنبال پاسخ سوال “درمان ونیر یا لمینیت برای دندانهای نامنظم” هستید، ویدئو بخش ذیل را مشاهده کنید:
کامپوزیت دندان چیست؟
کامپوزیت های دندانی نوعی دیگر از محبوب ترین ونیرهای دندانی است که متشکل از مواد رزینی می باشد. مواد تشکیل دهنده کامپوزیت دندان دقیقا همانند ماده مصرفی در فرآیند پر کردن دندان است. چنین محصولی از صنعت دندانپزشکی زیبایی و ترمیم دندان قادر است تا ظاهری زیبا، طبیعی و خیره کننده را به دندان ها ببخشد تا جلوه بصری طرح لبخند بسیار افزایش یابد.
لازم است تا بدانید که کامپوزیت دندان برای افرادی که به دنبال اصلاح تغییرات رنگی جزئی دندان یا عیوب دندانی جزئی مانند کجی خفیف دندان ها هستند، جزو بهترین گزینه های پیشنهادی مطرح می شود. جامعه دندانپزشکی معتقد است افرادی که دارای مینای دندانی ضعیف یا نازک هستند، بیشتر مستعد نصب کامپوزیت های دندانی در مقایسه با لمینت های سرامیکی پرسلن هستند.
ریز جرئیات تفاوت لمینت و کامپوزیت دندان در یک نگاه
| تفاوت ها | کامپوزیت | لمینت |
|---|---|---|
| مواد متشکل چیست؟ | رزین | پرسلن |
| نیازمند تراشیدن است؟ | ❌ | ✅ |
| کدام زیبایی بیشتر دارد؟ | ✅ | ✅ بیشتر |
| کدام ظاهری طبیعی تر دارد؟ | ❌ | ✅ |
| طول عمر کدام بیشتر است؟ | ❌ | ✅ |
| کدام هزینه کمتری دارد؟ | ✅ | ❌ |
| چند جلسه باید مراجعه کنیم؟ | حداکثر 3 مرتبه | 1 مرتبه |
| امکان ترمیم وجود دارد؟ | ✅ | ❌ (باید تعویض شود) |
| کدام مقاومت بیشتری در برابر تغییر رنگ و نشست لکه دارد؟ | ❌ | ✅ |
| احتمال آسیب دیدگی کدام بیشتر است؟ | ✅ | ❌ |
| کدامیک نیازمند قابل گیری دندان است؟ | ❌ | ✅ |
| کدامیک نیازمند طراحی در لابراتوار است؟ | ❌ | ✅ |
| برگشت پذیر هستند؟ | ✅ | ❌ |
| برای اصلاح نواقص جزئی کدام بهتر است؟ | ✅ | ❌ |
| برای اصلاح رنگ دندان کدام بهتر است؟ | ✅ | ❌ |
1. فرق کامپوزیت و لمینت از نظر جنس مواد متشکل
اصلی ترین تفاوت لمینت و کامپوزیت دندان در جنش مواد متشکل خلاصه می شود. کامپوزیت ها مواد خمیری شکل ساخته شده از رزین و همرنگ دندان هستند که به دلیل خاصیت چسبندگی بالا می توانند پیوند محکمی با مینا و عاج دندان ایجاد کنند و از این طریق، فرآیند ترمیم دندان را آسان تر کنند. ونیر کامپوزیت دندان یکی از روش های رایج برای بهبود ظاهر دندان ها است. لمینت دندان یا روکش پرسلن نوعی روکش دندان است که به صورت یک لایه نازک از پرسلن روی دندان ها قرار می گیرد. روکش لمینت دندان به عنوان روشی موثر و زیبا برای بهبود ظاهر دندانها شناخته می شود.
- ونیر کامپوزیت: مقاومت پایین در برابر ضربه و تغییر رنگ.
- لمینت دندان: مقاومت بالا در برابر ضربه و تغییر رنگ.
📄 به نقل از سایت JAMMR
متن انگلیسی:
“Composite veneers provide good aesthetic outcome and patient satisfaction; however, due to its physical properties and bonding strength compared to porcelain veneers, composite veneers tend to fail significantly faster than porcelain veneers.”
ترجمه فارسی:
ونیرهای کامپوزیتی از نظر زیبایی نتیجه خوبی می دهند و معمولاً رضایت بیمار را جلب می کنند؛ اما به دلیل محدودیت های فیزیکی و قدرت چسبندگی کمتر آن ها نسبت به لمینت های سرامیکی، احتمال خراب شدن و از کار افتادن کامپوزیت ها بهطور قابل توجهی بیشتر و سریع تر از لمینت های سرامیکی است.
2. تفاوت لمینت و کامپوزیت از نظر کاربرد
از دیگر تفاوت لمینت و کامپوزیت دندان می توان به کاندیدای مناسب و نامناسب اشاره کرد. کامپوزیت دندان بیشتر برای اصلاح نواقص جزئی خفیف و بهبود تغییرات رنگی سطحی مناسب است. اما لمینت کاربردهای گسترده تری نسبت به کامپوزیت در حوزه خدمات ترمیمی و زیبایی دندان دارد.
- ونیر کامپوزیت: از کامپوزیت دندان برای ترمیم شکستگی، پوسیدگی و ترک، تغییر اندازه، شکل و رنگ دندان استفاده می شود.
- لمینت دندان: از لمینت دندان به منظور سفید کردن دندان ها، اصلاح طرح لبخند و به طور کلی پوشاندن ایرادات ظاهری دندان مثل تغییر رنگ، شکستگی، فاصله بین دندانی و …. استفاده می شود.

3. تفاوت لمینت و کامپوزیت از نظر قیمت
در هنگام بررسی تفاوت لمینت و کامپوزیت دندان، یکی از موارد اساسی درباره تفاوت قیمت لمینت و کامپوزیت است. از نظر هزینه، کامپوزیت دندان ارزان تر از لمینت است. دلیل این تفاوت قیمت، استفاده از مواد ارزان تر و تکنیک اجرای ساده تر در کامپوزیت است. لمینیت دندان نیاز به تراشیدن مینای دندان، قالبگیری و ساخت در لابراتوار دندانپزشکی دارد که باعث بالا رفتن هزینه آن می شود؛ به همین دلیل، قیمت کامپوزیت دندان تقریباً سه برابر کمتر از لمینت است. آخرین هزینه تقریبی لمینت و کامپوزیت دندان عبارت است از:
- ونیر کامپوزیت: از 1.500.000 الی 6.000.000 میلیون تومان به ازای هر واحد.
- لمینت دندان: از 4.000.000 الی 20.000.000 میلیون تومان به ازای هر واحد.
4. تفاوت لمینت و کامپوزیت از نظر مراحل نصب
| ردیف | مراحل نصب کامپوزیت (به ترتیب) | مراحل نصب لمینت (به ترتیب) |
|---|---|---|
| 1️⃣ | سطح دندان تمیز و آماده سازی می شود (بدون نیاز به تراشیدن). | سطح دندان تراشیده می شود. |
| 2️⃣ | ماده خمیری شکل کامپوزیت روی دندان قرار می گیرد. | قالب گیری از دندان |
| 3️⃣ | کامپوزیت به شکل دلخواه در می آید و با نور مخصوص سفت می شود | لمینت ها در لابراتوار ساخته می شوند. |
| 4️⃣ | دندان ها پولیش می شوند تا سطح آنها صاف و براق شود. | لمینت ها روی دندان ها نصب شده و به آنها چسبانده می شوند. |
با این تفاسیر یک تفاوت لمینت با کامپوزیت دندان، در رابطه با مراحل نصب آنها است. نصب کامپوزیت دندان تنها در یک جلسه و در کلینیک دندانپزشکی انجام می شود، در حالی که برای نصب لمینت دندان نیاز است که چندین جلسه به دندانپزشک خود مراجعه کنید و نیاز به قالب گیری از دندان ها است.

5. تفاوت لمینت و کامپوزیت از نظر چگونگی ترمیم
ترمیم کامپوزیت دندان نسبتاً ساده است و در صورت آسیب دیدن، به راحتی قابل ترمیم است. اما ترمیم لمینت دندان دشوارتر و پرهزینه تر است. در صورت آسیب دیدن لمینت، ممکن است نیاز به تعویض کامل آن باشد.
- ونیر کامپوزیت: امکان پذیر بودن اجرای فرآیند ترمیم باندینگ کامپوزیت دندان بعد از آسیب دیدگی.
- لمینت دندان: احتمال بسیار ضعیف ترمیم لمینت دندان بعد از آسیب دیدگی.

6. فرق کامپوزیت و لمینت دندان از نظر زیبایی و ظاهر
همان طور که گفتیم مهم ترین تفاوت لمینت و کامپوزیت دندان در روش اجرای آنهاست. در لمینت، سطح دندان ها باید تراشیده شود که این امر باعث می شود ظاهر دندان ها طبیعی تر به نظر برسد. از طرف دیگر، در روش کامپوزیت نیازی به تراشیدن دندان ها نیست که ممکن است باعث برآمدگی و بیرون زدگی دندان ها شود. همچنین، لمینت ها به دلیل شفافیت، شبیه شیشه نازک هستند و جلوه طبیعی تری دارند.
- ونیر کامپوزیت: از درخشنگی کمتری نسبت به لمینت دندان برخوردار است.
- لمینت دندان: از ظاهری بسیار طبیعی تر و شفافیت بیشتری نسبت به کامپوزیت برخوردار است.

7. تفاوت لمینت و کامپوزیت دندان از نظر ماندگاری
یکی دیگر از اصلی ترین تفاوت لمینت و کامپوزیت دندان در مدت زمان ماندگاری و طول عمر هر یک خلاصه می شود. لمینت های دندانی به دلیل جنس و نحوه ساختشان، از کامپوزیت ها بادوام تر و محکم تر هستند. طول عمر لمینت های دندانی در صورت مراقبت صحیح می تواند 10 تا 20 سال دوام باشد، در حالی که کامپوزیت ها معمولاً حدود 5 الی 10 سال دوام می آورند.
- ونیر کامپوزیت: از درخشنگی کمتری نسبت به لمینت دندان برخوردار است.
- لمینت دندان: از ظاهری بسیار طبیعی تر و شفافیت بیشتری نسبت به کامپوزیت برخوردار است.

8. تفاوت کامپوزیت و لمینت از نظر تغییر رنگ
ذرات ونیر پرسلن متشکل سطح لمینت دندان از مقاومت و استحکام بیشتری برای مقابله با تغییرات رنگی و نشست لکه برخوردار است. در حالی که کامپوزیت ها مانند دندان های طبیعی ممکن است به مرور زمان لکه بگیرند و تغییر رنگ دهند. اجرای دستورالعمل های بهداشتی دهان جهت پیشگیری از شکل گیری تغییرات رنگی و مشکلات دندانی مانند پوسیدگی و بیماری لثه اجباری است.
- ونیر کامپوزیت: از حساسیت بیشتری نسبت به مواد تغذیه ای حاوی رنگدانه در مقایسه با بافت های متشکل سطح دیداری لمینت دندان برخوردار است.
- لمینت دندان: به دلیل داشتن جنس متشکل سرامیکی سطوح لمینت، سرعت شکل گیری لکه های رنگی بر روی لایه های دیداری این باندینگ در مقایسه با روکش کامپوزیت بسیار کمتر است.

9. تفاوت لمینت و کامپوزیت دندان از نظر معایب و عوارض جانبی
شایان ذکر است که تجربه و مهارت متخصص ترمیم و زیبایی جهت اجرای یک فرآیند بی نقص برای نصب روکش کامپوزیتی و باندینگ سرامیکی بسیار تاثیر گذار است؛ اگر عملیات قرارگیری روکش های کامپوزیت و سرامیکی بر روی سطوح دندان به درستی صورت گیرد، احتمال شکل گیری واکنش های حساسیتی تغییرات دمایی، ملتهب شدن و ایجاد شکستگی بسیار ضعیف است. همچنین میزان معایب و حتی عوارض ناشی از کامپوزیت و لمینت دندان تا حد زیادی به مراقبت های پس از نصب باندینگ بستگی دارد.
- ونیر کامپوزیت: طول عمر کمتر، امکان تغییر رنگ و نیاز به مراقبت بیشتر.
- لمینت دندان: قیمت لمینت دندان نسبتا زیاد است. برای نصب لمینت، باید سطح بیشتری از دندان تراشیده شود. در صورت آسیب دیدن لمینت، تعمیر آن دشوار و پرهزینه است.
بیشتر بخوانید: عوارض لمینت دندان چیست؟

10. تفاوت کامپوزیت و لمینت از نظر برگشت پذیری
پرچالش ترین تفاوت لمینت و کامپوزیت دندان، موضوع برگشت پذیر بودن دندان ها به حالت ابتدایی بعد از نصب باندینگ های مذکور است. جهت اجرای عملیات لمینت گذاری بر روی سطوح دندانی، باید ابتدا مقداری از بافت های متشکل مینای دندان توسط متخصص ترمیم و زیبایی تراشیده شوند. باید بدانید که نازک شدن لایه های متشکل مینای دندان جهت نصب لمینت غیر قابل بازگشت است؛ امکان بازیابی حالت اولیه دندان (بازگشت قطر اولیه مینای دندان) وجود ندارد.
همچنین باید بدانید که در بیش از 90 درصد مواقع، دندانپزشک متخصص ترمیم و زیبایی برای نصب کامپوزیت، فرآیند تراشیدن بافت های متشکل مینای دندان را انجام نمی دهد. اگر دندانپزشک معالج تشخیص دهد که جهت نصب روکش کامپوزیت بر روی سطوح دندان، بیمار نیازمند اجرای فرآیند تراشیدن لایه های متشکل مینای دندان است، نگران نشوید؛ مقدار تراش خورده بسیار کم است. به صورت کلی، امکان برگشت پذیر بودن کامپوزیت دندان وجود دارد.
- ونیر کامپوزیت: تراشیدن بافت های مینای دندان 0.1 تا 0.3 میلی متر است.
- لمینت دندان: تراشیدن بافت های مینای دندان 0.3 الی 0.7 میلی متر است.

انواع روکش دندان را بشناسید
روکش های دندان به چندین نوع تقسیم می شوند که هر کدام ویژگی ها و کاربردهای خاص خود را دارند. از جمله انواع روکش دندانی عبارتند از:
- روکش سرامیکی (پرسلن)
- روکش فلزی
- روکش های ترکیبی سرامیکی و فلزی
- روکش دندانی زیرکونیا
- روکش های ترکیبی سرامیک و زیرکونیا
- روکش رزینی (کامپوزیت)
بیشتر بخوانید: هزینه انواع روکش دندان در سال 1404
لمینت دندان بهتر است یا کامپوزیت؛ راهی برای زیبایی لبخند شما!
حال که با تفاوت لمینت و کامپوزیت دندان آشنا شدید، شاید این سوال برایتان پیش بیاید که لمینت بهتر است یا کامپوزیت؟ لمینت ها و کامپوزیت های دندانی هر دو روش هایی برای اصلاح رنگ دندان، بی نظمی های جزئی دندان ها، پوشاندن فاصله بین دندان ها و سایر مشکلات زیبایی هستند. در واقع فرق لمینت و کامپوزیت در جنس و تکنیک انجام آنها است. بنابراین، مقاومت آنها در برابر تغییرات رنگ، فشار و ضربه ناگهانی با یکدیگر متفاوت است.
پاسخ این سوال به تشخیص دندانپزشک و البته نظر شما دارد. در صورتی که به دنبال روشی با ظاهری طبیعی تر و ماندگاری بیشتری هستید، لمینت دندان بهتر است. اما اگر به دنبال یک روش ارزان و سریع هستید، کامپوزیت گزینه بهتری برای شما است.
فیلم تفاوت لمینت و کامپوزیت دندان
تفاوت لمینت و کامپوزیت و بلیچینگ در یک نگاه
بلیچینگ دندان یکی دیگر از روش های بهبود ظاهر دندان ها است. در این روش دندانپزشک با استفاده از مواد سفیدکننده، رنگ دندان ها را روشن تر می کند. تفاوتهای اصلی بین بلیچینگ و لمینت و کامپوزیت عبارتند از:
- نوع درمان: بلیچینگ دندان، درمانی ساده تر است که برای تغییر رنگ های جزئی دندان انجام می شود.
- هزینه درمان: قیمت بلیچینگ دندان به نسبت کامپوزیت و لمینت دندان بسیار کمتر است.
- ماندگاری: ماندگاری بلیچینگ دندان کوتاه تر است و معمولا نیاز است که فرد سالانه این کار را انجام دهد.
| سوالات | لمینت | کامپوزیت | بلیچینگ |
|---|---|---|---|
| کدام دوام بیشتری دارد؟ | ✅ | ❌ | ❌ |
| کدام بیشتر تغییر رنگ می دهد؟ | ❌ | ✅ | ✅ |
| کدام نیازمند تراشیدن دندان است؟ | ✅ | ❌ | ❌ |
| کدام از قابلیت ترمیم در مطب برخوردار است؟ | ❌ | ✅ | ✅ |
| کدام از هزینه اقتصادی تری برخوردار است؟ | ❌ | ✅ | ✅ |
| کدام برای اصلاح فرم و شکل کاربرد دارد؟ | ✅ | ✅ | ❌ |
| کدام برای سفید کردن دندان ها کاربرد دارد؟ | ❌ | ❌ | ✅ |
| کدام نیازمند تکرار اجرای فرآیند است؟ | ❌ | ❌ | ✅ |
پاسخ به سوالات رایج تفاوت لمینت و کامپوزیت
نهایت طول عمر ماندگاری کامپوزیت و لمینت دندان با در نظر گرفتن رعایت تمام دستورالعمل های مراقبتی به ترتیب عبارت اند از 7 و 15 سال.
هزینه پرداختی برای نصب لمینت دندان به دلایل نیازمندی اجرای فرآیند قالب گیری، طراحی سفارشی در لابراتوار، قوی بودن سطح استحکام و بالا بودن مقاومت باندینگ لمینیت، بیشتر از روکش کامپوزیت است.
ونیر رزینی متشکل کامپوزیت از مقاومت کمتری نسبت به مواد پرسلن لمینت سرامیکی برخوردار است.